Friday, July 17, 2020

List Of What Dentist Does Veneers Ideas

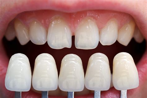
What are dental veneers advantages, disadvantages, duration Emanuele
What are dental veneers advantages, disadvantages, duration Emanuele from emanuelecicero.com

Are you self-conscious about your smile? Do you hide your teeth in photos or avoid smiling altogether? If so, veneers may be the solution you've been looking for. Many people are unaware of what dentist does veneers, but they can completely transform your smile and boost your confidence. In this article, we will explore what dentist does veneers and how they can improve your smile.

Pain Points of What Dentist Does Veneers

Having dental issues can be a source of discomfort and insecurity. Whether you have stained, chipped, or misaligned teeth, it can affect your self-esteem and make you hesitant to show off your smile. These pain points can impact your personal and professional life, leading to missed opportunities and decreased confidence. Fortunately, what dentist does veneers can address these concerns and give you the smile you've always dreamed of.

Answering the Question: What Dentist Does Veneers?

A dentist who specializes in cosmetic dentistry is the professional who performs veneer procedures. Veneers are thin shells made from porcelain or composite resin that are custom-made to fit over your natural teeth. The dentist will first assess your oral health and discuss your desired outcome. Then, they will prepare your teeth by removing a small amount of enamel to ensure a proper fit. Afterward, the dentist will bond the veneers to your teeth, creating a natural-looking and beautiful smile.

Summary of What Dentist Does Veneers

In summary, a dentist who specializes in cosmetic dentistry is the professional who performs veneer procedures. Veneers are thin shells made from porcelain or composite resin that are custom-made to fit over your natural teeth. These can address common dental issues such as staining, chipping, and misalignment, giving you a confident and radiant smile.

What Dentist Does Veneers: Personal Experience

As someone who struggled with self-confidence due to stained and slightly crooked teeth, I decided to seek the help of a dentist who does veneers. After a thorough consultation, my dentist explained the process and assured me that veneers would provide the solution I was looking for. The procedure itself was painless and quick, and the results were astounding. I instantly had a brighter, straighter smile that I was proud to show off. The veneers looked incredibly natural, and no one could tell that I had any dental work done. It was truly life-changing.

What I found most impressive about the process was the attention to detail and customization. My dentist took the time to understand my goals and create veneers that perfectly matched my natural teeth. The result was a smile that not only looked great but also felt comfortable and natural.

Since getting veneers, my confidence has soared. I no longer feel the need to hide my smile or cover my mouth when laughing. It has made a significant difference in both my personal and professional life, allowing me to present myself with confidence and ease.

What Dentist Does Veneers: Understanding the Procedure

Veneers are a popular cosmetic dental procedure that can transform your smile. But what exactly is involved in the process? Let's take a closer look at what dentist does veneers:

1. Consultation: The first step is to schedule a consultation with a dentist who specializes in veneers. During this appointment, you will discuss your goals and expectations for the procedure. The dentist will also examine your teeth and determine if veneers are the right option for you.

2. Preparation: If you decide to proceed with veneers, the dentist will prepare your teeth. This involves removing a small amount of enamel from the surface to create space for the veneers. The dentist will then take impressions of your teeth, which will be used to create your custom veneers.

3. Temporary Veneers: While your permanent veneers are being created, the dentist will provide you with temporary veneers to wear. These temporary veneers will protect your teeth and give you an idea of what your final smile will look like.

4. Bonding: Once your permanent veneers are ready, you will return to the dentist for the bonding process. The dentist will place the veneers on your teeth and ensure a perfect fit. They will then use a special bonding agent to permanently attach the veneers to your teeth. Finally, they will make any necessary adjustments to ensure your bite is comfortable.

5. Final Results: After the bonding process is complete, you will have a brand new smile. Your veneers will look natural and blend seamlessly with your existing teeth. The results are immediate, and you can start enjoying your beautiful smile right away.

Overall, the veneer procedure is relatively simple and straightforward. It is a minimally invasive way to achieve a stunning smile.

What Dentist Does Veneers: History and Myth

Veneers have been used in dentistry for decades, but there are still some myths and misconceptions surrounding them. Let's separate fact from fiction:

Myth: Veneers are only for celebrities: While veneers are popular among celebrities, they are not exclusive to the rich and famous. Many people, from all walks of life, choose veneers to enhance their smile and boost their confidence.

Fact: Veneers are durable: Contrary to popular belief, veneers are quite durable and can last for many years with proper care. However, they are not indestructible, and it's important to avoid habits such as biting on hard objects or using your teeth as tools.

Myth: Veneers look fake: When done by a skilled dentist, veneers can look incredibly natural. The dentist will take into account factors such as the color, shape, and size of your natural teeth to create a seamless and realistic result.

Fact: Veneers can fix various dental issues: Veneers are versatile and can address a range of dental concerns, including staining, chipping, misalignment, and gaps between teeth. They can give you a smile that you're proud to show off.

Myth: Veneers are painful: The veneer procedure is generally painless. The dentist will use a local anesthetic to numb the area before any preparation or bonding takes place. You may experience some sensitivity or discomfort afterward, but it is typically temporary.

It's important to separate fact from fiction when it comes to veneers. Consulting with a qualified dentist will provide you with accurate information and help you make an informed decision.

What Dentist Does Veneers: Hidden Secrets

Behind the scenes, there are some hidden secrets about what dentist does veneers that you may not be aware of:

1. Customization: Each set of veneers is custom-made to fit your unique smile. The dentist will consider factors such as the shape of your face, the color of your natural teeth, and your desired outcome to create veneers that are tailor-made for you.

2. Stain Resistance: Porcelain veneers are highly resistant to staining. This means that your veneers will stay bright and white, even if you consume foods and drinks that typically cause tooth discoloration. However, it's still important to maintain good oral hygiene habits to keep your natural teeth healthy.

3. Minimal Tooth Preparation: Contrary to popular belief, the amount of enamel removed during the preparation stage is minimal. The dentist will only remove a thin layer to ensure a proper fit for the veneers. This makes the procedure less invasive than other dental treatments.

4. Boosted Confidence: One of the hidden secrets of veneers is the significant boost in confidence they provide. A beautiful smile can improve your self-esteem and positively impact various aspects of your life, from personal relationships to job opportunities.

Understanding these hidden secrets can give you a deeper appreciation for the benefits of veneers and what dentist does veneers can truly offer.

What Dentist Does Veneers: Recommendations

If you're considering veneers, it's essential to find a reputable dentist who specializes in cosmetic dentistry. Here are a few recommendations to help you make the right choice:

1. Research: Take the time to research different dentists in your area who offer veneers. Look for reviews, before and after photos, and testimonials from previous patients. This will give you an idea of their skill and expertise.

2. Consultation: Schedule a consultation with a few different dentists to discuss your goals and expectations. This will allow you to get a feel for their communication style and determine if they are the right fit for you.

3. Credentials: Ensure that the dentist you choose is qualified and experienced in performing veneer procedures. Look for certifications and memberships in professional organizations related to cosmetic dentistry.

4. Communication: A good dentist will take the time to listen to your concerns and answer any questions you may have. They should be able to explain the procedure in a way that is easy to understand and make you feel comfortable throughout the process.

By following these recommendations, you can find a skilled dentist who will provide you with high

No comments:

Post a Comment

Le Méridien Charlotte, Charlotte Updated 2024 Prices

Table Of Content Sign Up for Exclusive Offers More Ways to Enjoy Your Stay The fine printNeed-to-know information for guests at this propert...